
Seis enfermedades que el cambio climático puede traer consigo
A medida que se calienta el planeta, los científicos advierten del derretimiento de los polos, el aumento del nivel del mar, y del clima cada vez más extraño. Pero hay otra amenaza que puede estar surgiendo ya: el 'renacimiento' y la expansión de enfermedades nuevas (y viejas) en lugares que antes se creían seguros. El derretimiento de la capa de hielo puede liberar patógenos 'zombies' que fueron congelados en el interior del hielo durante siglos, mientras que las temperaturas que aumentan permitirán a los insectos que transmiten enfermedades vagar por todas partes. Las amenazas que hoy están confinadas a las zonas tropicales probablemente se convertirán en nuevos problemas en latitudes más altas.


El regreso de la viruela
Es uno de los enemigos más aterradores de la humanidad. Se le declara culpable de la muerte de hasta 600.000 personas al año. Hace 35 años, se produjo el último caso de viruela en el mundo. Ahora, restos del virus asesino han vuelto a aparecer en Siberia, donde un grupo de arqueólogos desterró en 2012 cinco momias congeladas, pertenecientes a dos mujeres, un hombre y dos niños inhumados juntos. El hallazgo de ADN del virus culpable de la única enfermedad hasta el momento erradicada en el planeta agita el fantasma de un nuevo brote. Eso sí, los expertos lo consideran de momento improbable.

La expansión del zika
El zika, un virus que tradicionalmente no causa síntomas o leve fiebre, o erupciones cutáneas en adultos, puede ser devastador cuando infecta a mujeres embarazadas, causando abortos espontáneos y microcefáleas en fetos. El transmisor principal del zika es el mosquito Aedes aegypti, que también lleva consigo el dengue y la fiebre chikungunya. A. aegypti se encuentra habitualmente en los trópicos, particularmente en el sur y centro de América, así como el sureste de Asia y algunas partes de África. En un mundo inmerso en el calentamiento, la expansión de estos porta-enfermedades puede aumentar. Así lo indica un estudio publicado en la revista Geospatial Health en 2014 sugirió que algunas regiones del trópico podrían convertirse en menos habilitables para este mosquito, mientras que los actuales lugares seguros como Australia, el sur de Irán, la península arábiga y más áreas del norte de américa podrían convertirse en sitios favorables.

El renacer del ántrax
Este año las temperaturas de Siberia no han sido las habituales. Hasta 12 grados han subido en algunas regiones, consecuencia del calentamiento global. Esto ha provocado el deshielo de algunas regiones y la aparición de los cadáveres de unos renos que murieron de ántrax en 1941. Este brote de carbunco (Bacillius anthracis) ha provocado un niño muerto y 90 personas hospitalizadas. Esta bacteria logra resistir durante años convirtiéndose en una espora cuando la temperatura baja demasiado, aguantando hasta que la temperatura aumenta y pasan al modo infeccioso, a través del agua licuada o del pasto.

La llegada de garrapatas... y las enfermedades que traen consigo
Como los mosquitos, las garrapatas probablemente encuentren nuevas zonas por las que moverse y, con ellas, las enfermedades que portan. Un ejemplo reciente es la babesiosis, una enfermedad transmitida por garrapatas causada por el parásito Babesia microti. Las infecciones se producen normalmente en verano, cuando las garrapatas están más activas. Un incremento del calor en los veranos podría traer consigo un aumento de las infecciones de babesiosis, según un estudio publicado en 2014 en la revista Infectius Disease Clinics of North America.Otro ejemplo es la enfermedad de Lyme que, del mismo modo, podría extenderse a nuevas áreas mientras las garrapatas se expanden Un articulo publicado en 2008 en la revista Ecohealth encontró que Ixodes scapularis, el principal transmisor de la enfermedad de Lyme, tendrá un 213 % más de hábitats en Canadá en 2080 si el cambio climático continua su trayectoria de aumento de temperaturas.

Más cólera que nunca
La mortal enfermedad de la diarrea, el cólera, se transmite por el agua contaminada. En un futuro en el que el calor aumente, una investigación sugiere que los brotes de cólera podrían ser muchos más. Este estudio, publicado en 2014 por la Unión Geofísica Americana, encontró que el aumento del calor y las inundaciones causadas por el cambio climático podrían significar más cólera en áreas ya plagadas por una pobre sanidad. En cuanto a las inundaciones, pueden transportar agua contaminada más lejos, mientras las condiciones de sequía pueden concentrar una gran cantidad de bacterias del cólera (Vibrio cholera) en pequeñas cantidades de agua. Los científicos están convencidos de que, dada la preferencia del cólera por el calor, un incremento de las temperaturas hará que sea mucho más letal.

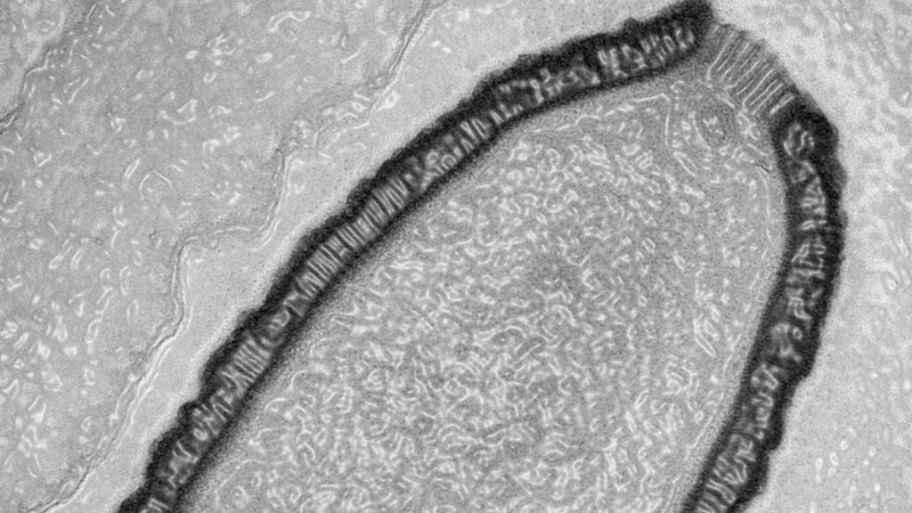
Virus 'zombies' gigantes
El ántrax no es el único patógeno que puede reaparecer en las capas de hielo. En 2015, unos investigadores anunciaron que un virus gigante, Mollivirus sibericum. que habían descubierto en las capas de hielo de Siberia era todavía infeccioso, tras haber estado oculto 30.000 años. Afortunadamente, el virus solo infecta amebas y no es peligroso para los humanos, pero su aparición suscitó la creencia de que los patógenos mortales como la viruela u otros virus desconocidos, hasta ahora extintos, podrían estar al acecho en la capa de hielo.