Muere un hombre tras ingerir dos pastillas de viagra mientras bebía alcohol en la India

Un hombre ha fallecido tras tomarse dos pastillas de viagra mientras bebía alcohol en Nagpur, India
El hombre falleció debido a una hemorragia cerebrovascular causada por la falta de oxígeno en el cerebro
El hombre consumió dos tabletas de 50 miligramos junto a una bebida alcohólica
Un hombre de 41 años ha fallecido después de ingerir dos pastillas de viagra mientras consumía alcohol en la ciudad de Nagpur, India. El sujeto se encontraba en un hotel con una mujer que le aconsejó, sin éxito, que buscara ayuda cuando este empezó a sentirse mal. La cantidad ingerida, dos tabletas de 50mg, equivalía al doble de la dosis habitual de sildenafil, comúnmente conocida como viagra, lo que mezclado con el alcohol le llevó a sufrir una hemorragia cerebrovascular.
El hombre tenía la presión arterial alta, aunque según el Journal of Forensic and Legal Medicine este no tenía antecedentes médicos ni quirúrgicos significativos. A pesar de que estudios han demostrado el poder de la viagra para reducir peligros cardiovasculares y prevenir enfermedades, los riesgos de consumir este tipo de medicamento sin receta médica son muy elevados. Al combinarse en este caso la alta presión arterial preexistente con la viagra, sus vasos sanguíneos en el cerebro se pusieron bajo presión, derivando en un derrame.
El hombre fue declarado muerto al llegar al hospital
El sujeto experimentó dolor de cabeza y a la mañana siguiente comenzó a vomitar. A pesar de las recomendaciones de su compañera para pedir ayuda médica, este hizo caso omiso pues aseguraba que ya había experimentado síntomas similares antes. Después de empeorar gravemente, fue trasladado al hospital, donde fue declarado muerto a su llegada. Los médicos afirmaron que la muerte del hombre podría ser el resultado de tomar tanto el medicamento para la disfunción eréctil sildenafil como el alcohol al mismo tiempo.
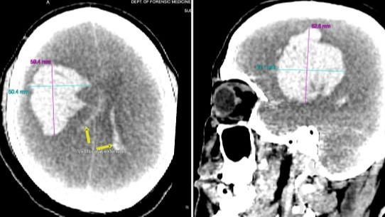
La autopsia mostró que la causa había sido una hemorragia cardiovascular. El Dr. Jay Narayan Pandit, del Departamento de Medicina Forense del Instituto de Ciencias Médicas de toda la India, dijo que las exploraciones post-mortem revelaron una masa de 300 g de sangre coagulada. Los autores dijeron que publicaron el caso para crear conciencia sobre los riesgos de tomar el medicamento para la disfunción eréctil sin consejo médico.

Los peligros de la compra de viagra sin receta
La venta sin receta de este tipo de medicamentos se ha disparado debido a que muchos hombres sin problemas de disfunción eréctil lo usan con fines recreativos para obtener una erección que quieran mejorar su rendimiento sexual. "Como patólogos forenses, debemos ser conscientes de este problema emergente y la detección toxicológica de sildenafil debe convertirse en rutina en las muertes que ocurren en circunstancias tan sospechosas que sugieren actividad sexual reciente de cualquier tipo, autoerotismo u hombres con disfunciones eréctiles", escribe e Dr. Narayan Pandit.
El NHS dice que las personas que toman medicamentos para el dolor en el pecho, tienen problemas cardíacos o hepáticos graves, o han tenido recientemente un ataque cardíaco o un derrame cerebral como algunas de las afecciones que podrían hacer que tomar sildenafil sea peligroso.
Sin embargo, el servicio de salud dice que tomar sildenafil con alcohol es seguro, pero como beber puede dificultar la erección, recomienda abstenerse de beber alcohol para obtener el mayor beneficio
