El error de Luigi Mangione para ser descubierto: el presunto asesino del CEO Brian Thompson se bajó la bufanda para ligar con una chica

Las autoridades de EEUU investigan por qué Luigi Mangione habría cometido el crimen del CEO Brian Thompson en Nueva York
El joven pudo cometer un error clave para ser descubierto: se bajó la bufanda para coquetear con una chica
El comunicado de la familia de Luigi Mangione por el crimen del CEO de UnitedHealthcare
Este pasado lunes fue arrestado en la localidad de Altoona, en Pensilvania, un joven de 26 años acusado de ser el autor del asesinato de Brian Thompson, el CEO de UnitedHealthcare, en pleno centro de Nueva York. Se trata de Luigi Mangione y su perfil es muy llamativo. Se sabe que estudió en universidades de élite, que es hijo de una familia acaudalada y que sufría fuertes dolores tras una operación en la espalda.
Según informa Mamen Sala, Mangione ha sido visto en la tarde de este martes llegando a los juzgados de Pensilvania al grito de "esto es una injusticia" y "¡se están riendo de la inteligencia del pueblo estadounidense!".
Los investigadores tratan de comprender por qué un joven de 26 años con un futuro prometedor podría estar presuntamente detrás de este crimen por muy enfadado que estuviera con las aseguradoras sanitarias del país. Un sentimiento que en EEUU comparten muchas personas que han estado mostrando su apoyo al joven, hasta el punto de que las autoridades han tenido que recordar a la población que el presunto asesino no es un héroe.

Luigi Mangione se bajó la bufanda para coquetear con la recepcionista de un hostal
De alguna manera, Luigi Mangione ha conseguido lo que quería: que se hable más del asesino que del asesinato. Que no se deje de dar vueltas a por qué mató de un disparo por la espalda, a bocajarro y de noche, al consejero delegado de la mayor aseguradora de salud del mundo. Las infinitas cámaras de seguridad de Manhattan, lugar del crimen el pasado 4 de diciembre, lo grabaron huyendo en bicicleta. Y también cuando se registraba en un hostal. Ahí cometió su mayor error: bajarse la bufanda que le tapaba la cara.
Según la recepcionista, coqueteó con ella, y las imágenes parecen confirmarlo. Una información que recogen fuentes como 'ABC News'. Un dependiente de un local de comida rápida, donde ha sido detenido el sospechoso, dio el aviso a la policía. Mangione portaba una pistola impresa en 3D, sin registrar por tanto. Y un manifiesto contra lo que denomina avaricia de las aseguradoras de salud.

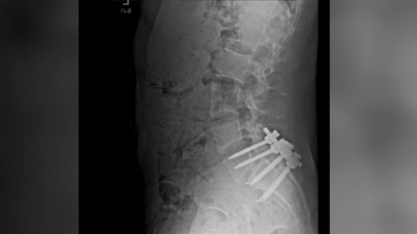
La radiografía que Luigi Mangione publicó en sus redes sociales, objeto de investigación
A Mangione sus conocidos lo califican como "muy inteligente, culto y carismático". Doble grado en ingeniería, número uno en su instituto. En un vídeo que se ha hecho viral en las redes se le puede ver dando el discurso de su graduación. Su familia, de origen siciliano, se había enriquecido en EEUU.
Cabe destacar que el joven publicó una radiografía en redes sociales, supuestamente suya, que muestra una columna vertebral tras ser operada (aparece en la cabecera de su perfil de X @pepmangione). Él entró en quirófano hace seis meses. Y nadie volvió a saber de él desde entonces, hasta que el pasado miércoles, presuntamente, reapareció para convertirse en el asesino de Brian Thompson.

Suscríbete a las newsletters de Informativos Telecinco y te contamos las noticias en tu mail
Síguenos en nuestro canal de WhatsApp y conoce toda la actualidad al momento