La familia reclama al SAS por una presunta negligencia médica tras el alta hospitalaria de un paciente con una disección aórtica no diagnosticada, una patología letal que requiere cirugía urgente
Un informe pericial concluye que se ignoraron signos radiológicos, clínicos y analíticos de extrema gravedad y que se perdió la única oportunidad real de salvarle la vida
SevillaLa familia de un paciente fallecido tras ser atendido en el Hospital Universitario Virgen Macarena ha presentado una reclamación patrimonial contra el Servicio Andaluz de Salud (SAS) por valor de 263.000 euros al considerar que existió una supuesta grave negligencia médica que impidió el diagnóstico y tratamiento de una disección de aorta torácica, una patología letal si no se interviene de forma urgente.
Los hechos se remontan al 19 de diciembre de 2024, cuando el paciente comenzó a las siete de la mañana con un dolor abdominal intenso y continuo en epigastrio y mesogastrio, irradiado hacia los flancos, el tórax, el cuello y la mandíbula. Según consta en la documentación clínica, el hombre refirió además una sensación de pérdida inminente de conocimiento en dos ocasiones, sin presentar vómitos ni diarrea.
Tras ser atendido por el servicio de emergencias 061, que lo derivó al hospital por "dolor torácico y precordial", ingresó en el Servicio de Urgencias del Virgen Macarena, donde se le realizaron un electrocardiograma, radiografía de abdomen, radiografía de tórax y una analítica. Esta última reveló una leucocitosis significativa con neutrofilia (17.900 leucocitos y 14.700 neutrófilos), valores anormalmente elevados que indicaban un proceso grave.

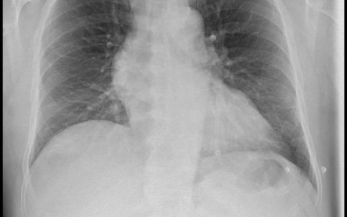
Sin embargo, pese a que la radiografía de tórax mostraba, según el informe pericial presentado por la familia, un ensanchamiento mediastínico y un aumento del tamaño de la silueta de la aorta ascendente, el paciente fue dado de alta a las 16.48 horas con el diagnóstico de gastroenteritis aguda (GEA) y tratamiento analgésico.
El paciente continuaba con dolores tras el alta
Según la reclamación, dicha radiografía ni siquiera fue mencionada en el informe de alta hospitalaria, a pesar de que el paciente continuaba con el mismo dolor intenso que había motivado su ingreso.
A la mañana siguiente, a las 7.10 horas, el hombre sufrió una pérdida súbita de conciencia en su domicilio. Un vecino inició maniobras de reanimación cardiopulmonar básica hasta la llegada del 061, que encontró al paciente en parada cardiorrespiratoria. Tras más de media hora de maniobras avanzadas sin éxito, se certificó su fallecimiento.
La autopsia médico-legal confirmó que la causa de la muerte fue una disección de aorta torácica tipo A con rotura en forma de "V" y hemo pericardio de aproximadamente 500 centímetros cúbicos, lo que provocó un taponamiento cardiaco mortal.
Una patología letal que exige cirugía inmediata
La familia ha encomendado la reclamación al abogado Pedro Arnaiz, especialista en mala praxis sanitaria, quien subraya que la disección aórtica tipo A de Stanford es una emergencia vital cuya mortalidad aumenta entre un 1% y un 2% por cada hora que pasa sin tratamiento.
"En las primeras 48 horas puede alcanzar el 50% de mortalidad, pero con diagnóstico precoz y cirugía urgente las tasas de supervivencia a cinco años se sitúan en torno al 80%", explica el letrado, citando los consensos de la Asociación Americana de Cirugía Torácica y del Colegio Americano de Cardiología.
Según Arnaiz, el Hospital Virgen Macarena es un centro de referencia con capacidad para realizar este tipo de intervenciones con una mortalidad quirúrgica inferior al 10%. "Si se hubiera indicado un angio-TAC y cirugía urgente, como marcan los protocolos, este paciente habría tenido una alta probabilidad de sobrevivir", sostiene.
Fallo en la valoración radiológica y clínica
El informe pericial médico aportado a la reclamación concluye que la atención prestada al paciente en el Servicio de Urgencias fue "gravemente deficiente" y que se produjo "una concatenación de errores diagnósticos y terapéuticos" que impidieron identificar a tiempo una patología potencialmente curable.
Según el perito, existió un fallo en la valoración radiológica al no interpretarse correctamente una radiografía de tórax que mostraba un marcado ensanchamiento mediastínico y una dilatación patológica de la aorta ascendente, un hallazgo altamente sugestivo de disección aórtica. A ello se sumó, según el escrito, la desestimación de signos clínicos de extrema gravedad, como el dolor toracoabdominal irradiado, la sensación presincopal y la presencia de una leucocitosis con neutrofilia, indicadores de un proceso agudo severo que obligaban a una vigilancia estrecha del paciente.
Pese a este cuadro clínico, se estableció presuntamente un diagnóstico erróneo de una patología leve, como la gastroenteritis aguda, a pesar de que el paciente no presentaba ni vómitos ni diarrea, y se le dio el alta sin plantear la realización de pruebas urgentes como un angio-TAC o una ecocardiografía, que habrían permitido confirmar la disección aórtica e iniciar de inmediato el tratamiento médico y quirúrgico indicado.
"El conjunto de estos datos obligaba a mantener al paciente en observación hospitalaria y activar un proceso diagnóstico-terapéutico de carácter extremadamente urgente", recoge el informe pericial, que concluye que la omisión de estos protocolos privó al enfermo de la única oportunidad real de supervivencia.
"Fue privado del único tratamiento que podía salvarle la vida"
Para el abogado de la familia, la actuación médica fue "gravemente negligente" al omitir los protocolos obligatorios ante una patología con alto riesgo vital.
"La correcta valoración de la radiografía de tórax junto al cuadro clínico obligaba a sospechar una disección aórtica. No hacerlo y enviar al paciente a su casa con un diagnóstico trivial lo abocó a la muerte", afirma Arnaiz.
La reclamación sostiene que existe una relación directa de causalidad entre la deficiente atención médica y el fallecimiento, al haberse perdido la oportunidad de aplicar el único tratamiento capaz de evitar la rotura de la arteria, la insuficiencia aórtica aguda y el taponamiento cardiaco.
"La muerte fue consecuencia natural de una enfermedad no tratada que tenía una alta probabilidad de curación si se hubiera actuado conforme a la lex artis", concluye el letrado.
La familia solicita ahora al Servicio Andaluz de Salud una indemnización de 263.000 euros por responsabilidad patrimonial sanitaria, al considerar que el alta médica precipitada privó al paciente de una intervención quirúrgica que muy probablemente le habría salvado la vida.
La Consejería de Sanidad de la Junta de Andalucía se encuentra en estos momentos recabando toda la información sobre el caso.

